
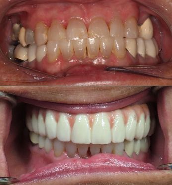
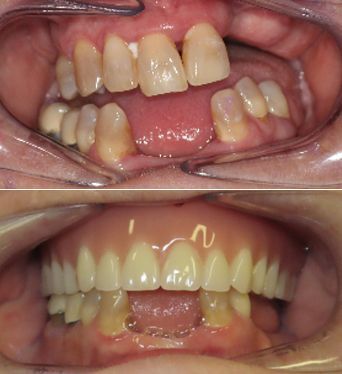
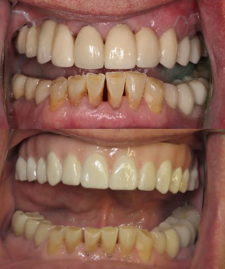
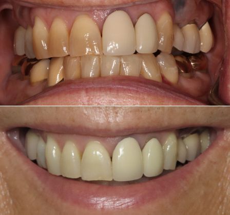
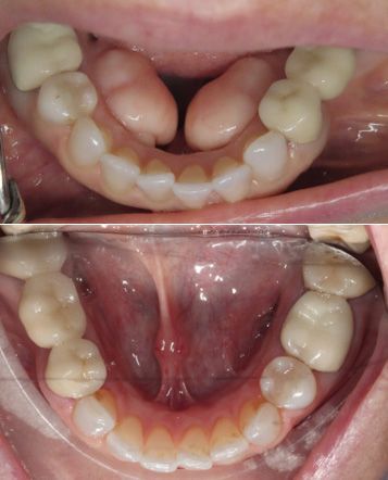
Smile Gallery
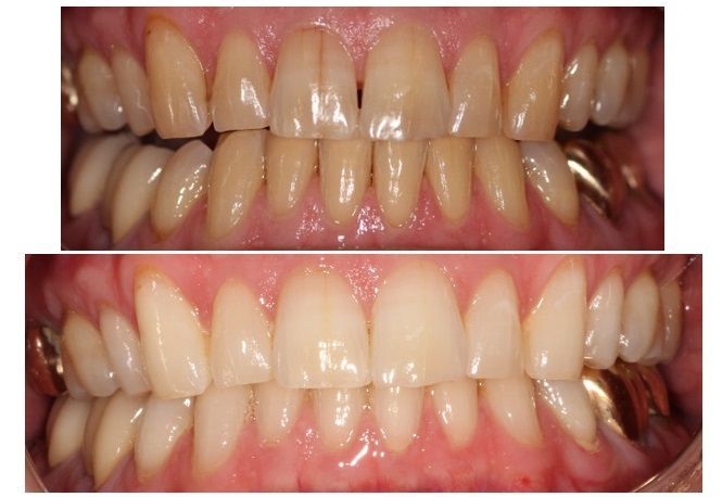
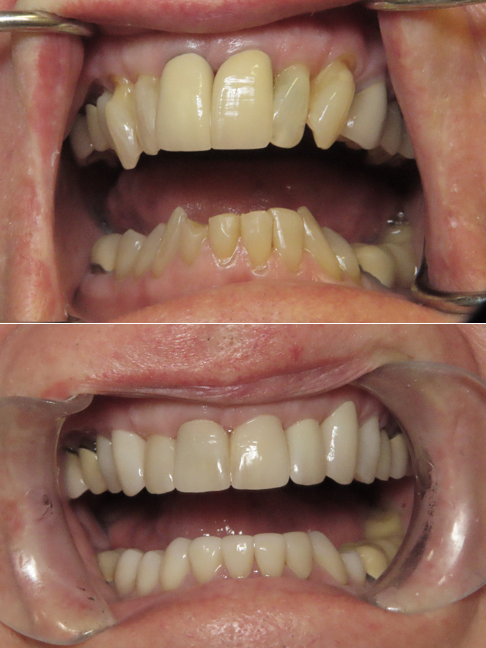
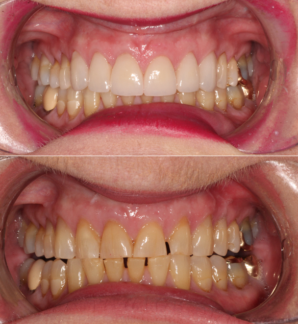
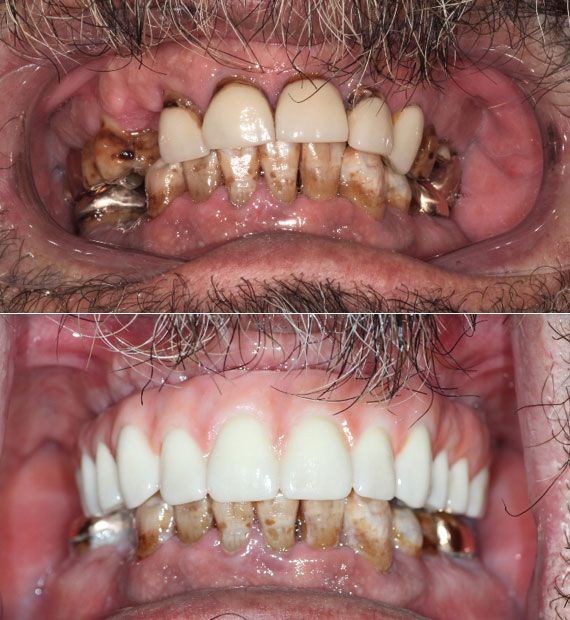
Welcome to our Smile Gallery! Here, you'll find inspiring before and after photos of our patients, showcasing the transformative results achieved through our expert dental care.
OR GIVE US A CALL


Hear What This Tucson Patient Had to Say About Their New All-On-X Dental Implants!


Why Tuscon Patients Continue To Choose Us
Our staff understands the importance of listening to patients, helping them to feel comfortable and relaxed. This personal approach is evident in everything we do. From making an appointment, filling out paperwork, conducting an examination, and providing dental treatments, the staff at Casas Adobes Dentistry take the time to connect with patients and give them the thoughtful attention they deserve.

Experienced and Highly Qualified Team
Led by Dr. Christopher Chin, a recipient of the Fellowship in the Academy of General Dentistry, Casas Adobes Dentistry boasts a team uniquely qualified in both general and cosmetic dentistry, setting high standards in dental care.

Comprehensive Dental Care
Casas Adobes Dentistry provides an extensive range of services from routine dental check-ups and cleanings to complex procedures like dental implants and veneers, ensuring complete dental care under one roof.

Patient Comfort and Convenience
Casas Adobes Dentistry prioritizes patient comfort with options like nitrous oxide, oral sedation, and even complete anesthesia for high-anxiety patients, complemented by amenities like cozy blankets and dark sunglasses.

Community Involvement and Trust
Dr. Chin’s dedication to community service through involvement with organizations like Give Kids A Smile and Smiles for Veterans builds deep community trust and showcases the practice's commitment to societal well-being.

Family-Friendly Environment
As a family dentist practice, Casas Adobes Dentistry offers a welcoming atmosphere for all ages, ensuring a consistent and pleasant dental care experience for every family member.

Modern Technology and Techniques
Casas Adobes Dentistry is committed to advanced dental care, utilizing the latest technologies and techniques to provide efficient treatment and superior outcomes, enhancing overall patient health.


About Casas Adobes Dentistry
At Casas Adobes Dentistry, we are more than just a dental office; we are a community-focused practice dedicated to providing quality dental care in Tucson. Under the leadership of Dr. Christopher Chin, our team offers a warm, welcoming environment where all patients are treated with care and respect. We believe that dental health is integral to overall health and strive to provide personalized, comprehensive care that addresses both your immediate needs and your long-term oral health. Our state-of-the-art facility is equipped with the latest in dental technology, which allows us to offer efficient and effective treatments. From routine cleanings to advanced cosmetic procedures, we are here to enhance your smile and improve your health.

Patient Education
Learn about dental health with our easy-to-understand guides and tips for all ages.
VIEW PAGE
Patient Information
Directions, insurance, payment info & more: everything you need as a new patient.
VIEW PAGE






















